Què és?
La ecografía de mama es una técnica de diagnóstico que consiste en la visualización de una imagen.

Se realiza con el ecógrafo que consta de un transductor; éste utiliza los ultrasonidos para que podemos ver a través de la pantalla toda la estructura de la mama.
Cuando está indicada?
La mayoría de los exámenes ecográficos de la mama surgen a partir de una exploración realizada en el área de la mama (mamografía, examen clínico). Por lo tanto, la ecografía es un estudio complementario.
La ecografía está indicada:
En mujeres de menos de treinta años.
En pacientes que se palpan masas y no son visualizadas por mamografía.
En mujeres embarazadas.
En aquellas mamografías que tengan imágenes nodulares o bien en mamas densas que no se puede acabar de completar el estudio.
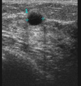
Podremos saber si se trata de una imagen sólida o líquida.
En pacientes con masas axilares o imágenes ganglionares visualizadas por mamografía.
En pacientes con mastodinia.
En mujeres con lactancia.
En pacientes que tengan que realizar una biopsia siempre y cuando la lesión sea visualizada por ecografía
Cómo preparar?
Para realizar la ecografía no es necesario ningún tipo de preparación.
Razones del procedimiento. ¿Por qué?
Normalmente las señoras tienen dudas de que se tienen que hacer una ecografía: debemos decir que la ecografía es una prueba complementaria a la mamografía y que se realiza según las indicaciones que hemos llamado.

Qué notará?
Sólo notará que le ponen un gel frío sobre la zona a explorar para poder ver mejor la imagen ya continuación le pondrán el transductor (aparato) encima.
No da ningún tipo de dolor, pero a veces puede ocasionar una ligera molestia en señoras que tengan quistes o inflamación del pecho, también puede ser que con la menstruación o bien se está ovulando, ya que la mama está más alterada y más sensible.
Que veíamos? ¿Qué esperamos?
A través de la ecografía veremos la estructura de la mama internamente como: piel, tejido mamario, conductos mamarios, músculo y costillas. Además de la estructura de la mama podemos encontrar lesiones que pueden ser sólidas o líquidas siempre y cuando éstas no sean muy pequeñas. También podremos ver la localización, el número, el tamaño y forma de las lesiones.
Riesgos y complicaciones
En la ecografía no existe ningún tipo de riesgo ya que a diferencia de la mamografía ésta no trabaja con la radiación.

Las únicas complicaciones que podemos tener será en caso de biopsia.
Molestias posteriores a la prueba
No existe ningún tipo de molestia posterior a la ecografía.
Una vez finalizamos que hacemos?
Una vez se ha finalizado la prueba el personal sanitario le explicará dónde se dirige el resultado:
Si la paciente se controla en el hospital pasarán los resultados a su médico.
Si la paciente es de otro centro le enviaremos el resultado en 10 días en el centro destinatario.
pruebas complementarias
En ocasiones se piden más pruebas para acabar de complementar el estudio; normalmente, la ecografía es el estudio complementario de la mamografía pero también puede ser al revés.






