Embolizar. percutánea de miomas uterinos
-
Embolización percutánea miomas uterinos¿Qué es un mioma uterino?
Los fibromas o miomas uterinos son tumores, no cancerosos (benignos), que se desarrollan en la pared muscular del útero.

La mayoría de ellos no producen síntomas pero si son grandes o múltiples pueden producir dolor y / o sangrados menstruales abundantes que conducen a la anemia.
¿Qué síntomas son los más frecuentes?
Los síntomas dependen del tamaño del mioma y de su localización (subseroso, intramural o submucoso). Los miomas son muy comunes entre las mujeres mayores de 30 años y la mayoría no causan problemas. Los síntomas más frecuentes e importantes son:
Alteraciones en la menstruación con hemorragias prolongadas y copiosas, incluso con coágulos de sangre. Esta hemorragia puede llegar a provocar anemia
Dolor de espalda y de piernas
Dolor durante la realización del acto sexual
Dolor, peso e hinchazón en el abdomen
Compresión sobre la vejiga urinaria produciendo constantes y / o frecuentes ganas de orinar
Compresión sobre el intestino produciendo estreñimientoCómo se diagnostica un mioma?
Los miomas se sospechan habitualmente en un examen ginecológico rutinario y se confirman mediante técnicas de imagen: ecografía transvaginal, tomografía computarizada y resonancia magnética..jpg)
Para el control y seguimiento de miomas pequeños y asintomáticos es suficiente la ecografía y el control médico. Miomas de tamaño grande y con muchos síntomas pueden requerir otras técnicas de imagen. La resonancia magnética y la ecografía son inocuas y asimismo indoloras.
¿Cuál es el tratamiento de los miomas uterinos?
Hasta hace poco, el tratamiento de los miomas uterinos, se limitaba a fármacos contra el dolor, terapia hormonal o cirugía, incluyendo extracción del útero. La embolización de miomas es una alternativa no quirúrgica que consigue una importante reducción del tamaño y mejora de los síntomas y que actúa dejando sin riego sanguíneo al mioma uterino. Antes de la realización de una embolización la paciente debe ser visitada por un especialista en ginecología para realizar una evaluación completa (Word, 46 KB) de su enfermedad.
En qué consiste la embolización de miomas?
Se realiza por técnicas de radiología intervencionista que requieren una mínima invasión. A través de cateterismo mediante una simple punción en la ingle, y bajo control de rayos X (fluoroscópico) realizaremos el taponamiento de las arterias que alimentan el propio tumor, mediante unas pequeñas bolitas de gelatina.
El dolor y la hinchazón abdominal son dos efectos comunes de esta técnica. Ocasionalmente, aparece fiebre durante 24-48 horas que puede ser tratada con paracetamol (Termalgin) o con metamizol magnésico (Notolil). Para combatir el dolor se utilizan analgésicos potentes por vía epidural, venosa y oral. En nuestra experiencia se consigue un buen control del dolor mediante sedación por vía endovenosa e incluso se puede realizar el tratamiento de forma ambulatoria.
Posteriormente se administran durante una semana analgésicos por vía oral.
Quien realiza la embolización?
El procedimiento lo realiza el radiólogo intervencionista dentro de las salas especializadas para ello. Sin embargo, en el proceso diagnóstico y terapéutico intervienen otros profesionales médicos (ginecólogos, anestesistas, radiólogos generales, etc.). Los radiólogos intervencionistas son médicos que tienen un entrenamiento especial para diagnosticar y tratar procesos, utilizando herramientas minúsculas y sofisticadas guiados por rayos X u otras técnicas de imagen.
En general, las técnicas intervencionistas son menos invasivas y más seguras con menor tiempo de hospitalización y de convalecencia para el paciente.

El radiólogo intervencionista trabaja estrechamente con el resto de especialistas para asegurarse de que el paciente recibirá la mejor atención y cuidado posible.
Donde se realiza la embolización?
La sala de Radiología Intervencionista es una estancia hospitalaria que reúne unas condiciones especiales de asepsia. Dispone de un sofisticado equipamiento de imagen (rayos X y ecografía) así como del personal humano y de los medios técnicos de control vital y reanimación adecuados para garantizar la seguridad del paciente.

¿Cuáles son los resultados médicos de embolización?
Los trabajos médicos demuestran que entre el 80 y 95% de las pacientes mejoraron los síntomas. Más del 80% de las pacientes redujeron de manera importante el volumen de sus miomas.
Existen riesgos en la embolización de miomas?
La embolización de la arteria uterina es una técnica segura, pero como la gran mayoría de procedimientos médicos también puede tener algunas complicaciones. El dolor es la más frecuente y se produce por falta de riego sanguíneo en el útero, lo importante que requiere analgesia especial. En las primeras horas pueden aparecer náuseas, vómitos y fiebre que se controlan generalmente con medicación adecuada. Un pequeño porcentaje de pacientes presentó infección que se controló con antibioterapia. Sólo el 1% de las pacientes ante la alteración uterina se consideró la histerectomía como tratamiento potencial. Finalmente, se ha descrito en un 2-10% de los casos, menopausia inducida postembolització.
No hay que olvidar que la histerectomía y la miomectomía también pueden presentar complicaciones infecciosas, hemorrágicas, creación de adherencias de tejidos y órganos abdominales.
Cómo se realiza el control del dolor durante el tratamiento
Algunos grupos de médicos controlan el dolor con analgésicos intravenosos y orales y en otros casos se realiza con anestesia epidural, controlando de forma rápida y eficaz el dolor.

En casos seleccionados, el tratamiento se realiza de forma ambulatoria con resultados satisfactorios.
Se puede tener hijos después de la embolización?No hay estudios concluyentes en este sentido. Se aconseja que durante los primeros meses después de la embolización se evite quedarse embarazada. Algunas mujeres tuvieron embarazos a término sin complicaciones después de una embolización de las arterias uterinas para el tratamiento de un mioma.
Después del procedimiento, que hay que esperar que pase?
DolorLa mayoría de las pacientes experimentaron un dolor severo provocado por el infarto del mioma, además de la isquemia producida en el resto del útero y que fue controlado mediante la utilización de la analgesia adecuada.
La combinación de morfina y antiinflamatorios administrados por vía endovenosa es el método más eficaz que se ha demostrado para el control del dolor. La máxima intensidad del dolor se presenta en las primeras horas comenzando a disminuir a partir de las 12 horas postprocediment.
Náuseas y vómitos
Se trata de un efecto secundario relativamente frecuente que es debido por un lado por la propia isquemia del mioma y por otro por la medicación para tratar el dolor. En general con el tratamiento médico suelen controlarse adecuadamente.
Alta a domicilio a las 24/48 horas. Qué hay que esperar que pase?La mayoría de las pacientes presentan durante los primeros días dolores abdominales similares a los de tipo menstrual. Por este motivo durante la primera semana hay que seguir la pauta de tratamiento planificado con antiinflamatorios y analgésicos.
La presencia de fiebre, no superior a 38º C, es habitual. Al mismo tiempo la aparición de flujo en mayor cantidad que lo que es habitual también puede ser normal y va desapareciendo durante la primera semana.
La recuperación completa y reinicio de la actividad normal suele ser entre los 10-15 días después del procedimiento.
Documentos informativos sobre la embolización de miomas (en castellano):Documento informativo para el tratamiento de los miomas uterinos mediante embolización
Documento informativo de evaluación para pacientes candidatas a embolización
Documento informativo pacientes en fase de recuperación
Neuroradiología intervencionista
-
Neuroradiología intervencionista
El desarrollo de los procedimientos intervencionistas en los últimos años ha sido muy notable en diversas áreas de la patología vascular y no vascular. Tiene un especial énfasis en el territorio de la patología neurovascular con los diferentes tratamientos que se realizan en esta área: la embolización de los aneurismas cerebrales, la embolización de los tumores hipervasculars cráneo-faciales, la embolización de las fístulas arteriovenosas durales y de las malformaciones arteriovenosas cerebrales y medulares, el tratamiento intraarterial de rescate del ictus agudo y en la angioplastia / stent de las estenosis carotídeas y vertebrales intra y extracraneales.
Las unidades especializadas en neurorradiología intervencionista cuentan con un angiógrafo digital de elevada calidad que permite realizar angiografías cerebrales rotacionales en 3 D y CT in situ, obteniendo la correcta valoración y planificación terapéutica y mostrando angioarquitectura vascular en las tres dimensiones tanto de los aneurismas como de las malformaciones arteriovenosas.
Nuestra unidad consta de dos equipamientos Siemens Axiom Artis dotados de consolas de reconstrucción tridimensional. Dos médicos radiólogos de la unidad de radiología intervencionista tienen una dedicación preferente al neurointervencionisme, integrados en un grupo clínico del hospital de Sabadell de patología neurovascular en colaboración con los neurólogos, neurocirujanos, neurorradiólogos, anestesistas e intensivistas.
Nuestra cartera de servicios es la siguiente:
Estudio angiográfico global de troncos supraaórticos
Estudio angiográfico selectivo cerebral y medular
Embolización de los aneurismas cerebrales en la hemorragia subaracnoidea y los aneurismas incidentales
Estudios funcionales y embolización de las malformaciones arteriovenosas cerebrales y medulares
Estudios angiográficos y embolización de las fístulas arteriovenosas durales cerebrales y medulares
Embolización prequirúrgica y / o paliativa de tumores a nivel cráneo-facial ya nivel de la columna vertebral
Angioplastia / stent de la estenosis carotídea y vertebral intra y extracraneal
Tratamiento endovascular de rescate en el ictus hiperagudo con sistemas mecánicos y / o farmacológicos
Samplings venosos los senos intracraneales por determinación hormonal
Test de oclusión carotídea y vertebral
Tratamiento endoluminal de las estenosis y trombosis de los senos venosos intracraneales
Ejemplos:Trombectomia mecánica de rescate en el ictus isquémico


Angiografía cerebral selectiva de carótida interna izquierda. Obstrucción segmento M1-2 de arteria cerebral media izquierda. Extracción sistema mecánico del trombo.

Angiografía cerebral selectiva de carótida interna izquierda. Recanalización completa del segmento M1-2 de arteria cerebral media izquierda. Control TC 24 horas después.
Embolización de aneurisma cerebral con técnica de remodeling con balón
Angiografía cerebral selectiva de carótida interna izquierda. Aneurisma de arteria comunicante anterior. Embolización con microcoils con técnica de "remodeling".

Angiografía cerebral selectiva de carótida interna izquierda y reconstrucción 3D. Embolización completa del aneurisma.
La patología neurovascular en muchas ocasiones se presenta de forma aguda y con una gravedad importante que conlleva establecer unos mecanismos de estrategia de tratamiento muy bien definidos. El equipo multidisciplinar del Hospital formado por varios especialistas ha confeccionado unas guías y protocolos de actuación que implican un tratamiento efectivo y precoz de esta patología neurocrítico.
Preguntas más frecuentes:¿Qué es la neurorradiología intervencionista?
Es una subespecialidad del Radiodiagnóstico que se ocupa del diagnóstico y del tratamiento de la patología neurovascular.
Cómo se realizan estos tratamientos?
Básicamente la mayor parte de los procedimientos se realizan con pequeños catéteres que desde la ingle después de la punción de la arteria femoral permiten acceder a los vasos cerebrales, del cuello y de la médula.
¿Qué es un aneurisma cerebral?
Es una dilatación anormal que aparece en la pared de una arteria del cerebro. Cuando se rompe el aneurisma provoca una hemorragia cerebral grave y hay que hacer un tratamiento precoz para evitar el resangrado del aneurisma.
El riesgo de ruptura de los aneurismas es de un 0,2 a 3% anual y el primer síntoma que puede referirse el enfermo es un dolor de cabeza brusco, el más intenso de su vida. La ruptura aneurismática provoca una hemorragia subaracnoidal iées una emergencia médica.
Enlaces:
- Grupo español de neuroradiología intervencionista - Rincón del paciente
- Federación Mundial de Neurología
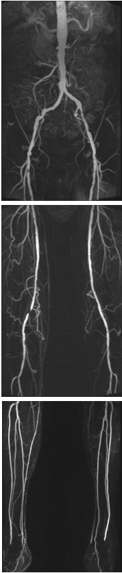
RM vascular miembros inferiores
-
RM vascular miembros inferiores
La arteriografía convencional ha sido clásicamente la técnica de elección para el estudio de la patología vascular provocada por la arteriosclerosis de las arterias de los miembros inferiores. A pesar de ser una técnica bien conocida, no está exenta de complicaciones.

La angiografía por resonancia magnética (ARM) es una técnica ya utilizada en muchos territorios vasculares (carótidas, arterias renales, aorta abdominal, ...) con resultados óptimos. Con el desarrollo de nuevas tecnologías de resonancia, hoy en día es posible realizar un estudio vascular completo de las arterias de los miembros inferiores en sólo 30 minutos y en pocas complicaciones. En nuestra unidad utilizamos una resonancia Siemens Symphony 1.5 Tesla con antena específica para miembros, con movimiento automático de la mesa y secuencias de alta resolución para producir imágenes de gran calidad diagnóstica.
La ARM permite visualizar el árbol arterial completo del MMII con una inyección venosa de un contraste que no daña la función renal (gadolinio-DTPA). La ausencia de nefrotoxicidad hace que los enfermos con insuficiencia renal, especialmente los diabéticos, sean los candidatos idóneos para realizar esta prueba. El hecho de no hacer falta de punción arterial representa también una ventaja para los enfermos con problemas de coagulación.
El uso de la ARM en la patología arterial de las piernas ofrece imágenes diagnósticas sin complicaciones, sin riesgo de daño renal y sin necesidad de ingreso hospitalario, permitiendo reservar los estudios más invasivos para casos seleccionados.

Bibliografía
Loewe C, Schöder M, Rand T. Peripheral vascular occlusive disease: evaluation with contraste-enhanced moving-bed MR angiography versus digital subtraction angiography in 106 patients. AJR Am J Roentgenol 2002; 179: 1013-21
Swan JS, Carroll T, Kennell T, Hesey D, Korošec F, Frayne R, Mistretta C, Grist T. Time-resolved three dimensional contraste-enhanced MR angiography of the peripheral vessels. Radiology 2002; 225: 43-52
Aurbach EG, Martin ET. Magnetic resonance imaging of the peripheral vasculature. Am Heart J. 2004 Nov; 148 (5): 755-63.
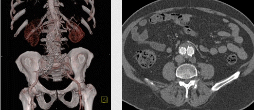
Trat. endoluminal aneurismas aórticos
-
Tratamiento endoluminal aneurismas aórticos
La Unidad de Radiología Vascular e Intervencionista en estrecha colaboración con el servicio de Angiología y Cirugía Vascular del Hospital Parc Taulí realiza desde principios de 2003 el tratamiento endoluminal de los aneurismas de aorta.
¿Qué es un aneurisma y qué síntomas da?
Un aneurisma es una dilatación de un vaso sanguíneo que se produce por la incapacidad de la pared adelgazada del vaso para resistir la presión de la sangre. Los aneurismas pueden ocurrir en cualquier arteria pero son más comunes a nivel de la circulación cerebral o en la aorta. La aorta es la arteria más grande del organismo y es la encargada de transportar la sangre del corazón hasta el resto del cuerpo. Los aneurismas aórticos se pueden producir tanto a nivel del tórax (aorta torácica) como a nivel abdominal (aorta abdominal), este segundo caso es mucho más frecuente y normalmente se producen justo por encima de su división en las arterias que llevan la sangre a las piernas (arterias ilíacas).
La mayoría de los aneurismas no producen síntomas, en algunos casos pueden producir dolor abdominal o torácico y en otras ocasiones pueden manifestarse como una sensación de masa pulsátil en el abdomen. La ausencia de síntomas no significa que un aneurisma no sea una enfermedad potencialmente muy peligrosa.
Cómo se diagnostica un aneurisma?
La ausencia de síntomas hace que el diagnóstico del aneurisma sea difícil. A veces el médico sospecha por la detección de una masa pulsátil en el abdomen o por la presencia de dolor que determina hacer pruebas de imagen. En la mayoría de los casos el diagnóstico se realiza de forma accidental mediante pruebas solicitadas por otros motivos médicos. Las mejores pruebas de imagen para el diagnóstico de aneurismas aórticos son la ecografía, el escaner (TAC) o la resonancia magnética (ARM) en función de la localización y del tamaño que tengan.

¿Por qué se tiene un aneurisma y qué riesgo tiene?
A veces la aparición de un aneurisma viene favorecida por la presencia de un traumatismo, por enfermedades propias de la aorta o por factores hereditarios. En la mayoría de los casos no hay factor predisponente y se producen por daño a la arteria (arteriosclerosis) provocada por la presencia de tensión alta, tabaquismo, colesterol alto o enfermedad cardíaca.
El principal problema con los aneurismas es el riesgo de ruptura, situación muy grave que puede provocar la muerte del enfermo.
Las posibilidades de ruptura de los aneurismas dependen del tamaño y de su velocidad de crecimiento (mayor tamaño y más crecimiento más riesgo de ruptura) y de la presión arterial (más presión más riesgo)
Qué hacer cuando se tiene un aneurisma?
Una vez diagnosticado un aneurisma aórtico el cirujano vascular decidirá su tratamiento en función de su localización, del tamaño, de sus características y de los síntomas que dé. En muchos casos el tratamiento será corregir los factores de riesgo y solicitar una prueba de imagen periódica (normalmente un TAC cada 6 meses) para vigilar el tamaño y el aspecto del aneurisma. En otras ocasiones se decidirá que el riesgo de ruptura es demasiado alto y que habrá que tratarlo.
¿Qué tipos de tratamientos hay?
Durante muchos años el único tratamiento disponible era la reparación quirúrgica de la aorta. El procedimiento consiste en abrir el abdomen, bajo anestesia general, sustituyendo la aorta dañada y dilatada por un tubo sintético (prótesis). Este procedimiento es muy eficaz y se realiza desde hace muchos años, con todo, no está exento de complicaciones y no es bien tolerado por todos los pacientes.
En los últimos años se ha desarrollado un tratamiento endoluminal, menos invasivo, consistente en la colocación de un tubo sintético metálico (prótesis) en la aorta dañada a través de pequeñas incisiones en las ingles. Mediante la introducción de catéteres y con su visión a través de aparatos de RX es posible situar la prótesis contra la pared de la aorta y en el lugar correcto, comprobando después que la zona dilatada ha quedado excluida, es decir no reciba sangre. El tratamiento endoluminal es menos agresivo, presenta una recuperación más corta, y tiene menos complicaciones.
En el hospital el tratamiento endoluminal se realiza en la sala de radiología vascular. Las prótesis son colocadas por un equipo formado por cirujanos vasculares y radiólogos intervencionistas.
¿Qué controles a seguir después del tratamiento endoluminal y qué complicaciones hay?
Después del tratamiento el paciente es necesario que se visite con su médico, el cual pedirá un TAC periódicamente para comprobar que la prótesis sea permeable (que deje pasar la sangre correctamente) y que el aneurisma comience a disminuir de tamaño.

Las complicaciones posibles más frecuentes son que la prótesis no prive completamente el paso de la sangre al aneurisma (endoleak), por lo tanto seguiría creciendo, o que la prótesis no deje pasar la sangre hasta los miembros inferiores (trombosis). En estos casos habría que indicar nuevamente tratamiento endoluminal o quirúrgico.
¿Qué tratamiento es el más adecuado?
El tipo de tratamiento se determina en función de las características del paciente y según el tipo y forma del aneurisma. No todos los enfermos pueden someterse a una intervención quirúrgica, por su estado de salud general, ni tampoco todos los aneurismas son susceptibles de tratamiento endoluminal, por su morfología y localización. El médico junto con el enfermo debe valorar las ventajas y los inconvenientes de cada tipo de tratamiento y decidir conjuntamente en función de éstos.

Información de la Sociedad Europea
-
Información de la Sociedad Europea de Radiología Cardiovasculari e Intervencionista (CIRSE)
Angioplastia arterial y colocación de endoprótesis
Biopsia percutánea guiada con imagte
Catéter central de inserción periférica
Drenaje biliar percutáneo transhepático y colocación de prótesis biliar
Drenaje percutáneo de colecciones y abscesos
Embolización de la Arteria Prostática (EAP)
Embolización de miomas uterinos
Inserción de catéter venoso central – Catéter tunelizado (cuff)
Inserción de catéter venoso central – reservorio subcutáneo (Port-a-cath)
Nefrostomía, catéter doble J y nefroureterostomía






