1 Programació
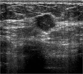
Pacients amb lesió mamà ria diagnosticada ,que requereix intervenció quirúrgica. Vindran derivades de la unitat de patologia mamà ria. Aquesta lesions seran visibles per ecografies.
2 Recepció
Cal tenir la sol·licitud de la prova.
Saber el número d’habitació on està ingressada la pacient.
Trucar al lliterer per que la vagi a buscar, és imprescindible que porti la historia clÃnica completa.
Explicar-li en què consisteix l'estudi, aclarint-li els dubtes i indicant-li la importà ncia de la seva col·laboració (fonamental en qualsevol exploració).
Mantenir tancada la sala d'exploració.
Introduir les dades identificatives: núm. d’història, nom i cognoms.
3 Definició:
Col·locació d’un filferro (o arpó) a la lesió mamà ria que s’ha de treure quirúrgicament de manera que un dels extrems està al centre de la lesió i l’altre extrem està visible, per fora de la pell. El cirurgià sols ha de seguir l’arpó per fora fins arriba a la lesió.

4 Quan es realitza
Lesions mamà ries no palpables bà sicament visualitzades per ecografia que s’han de treure quirúrgicament, bé perquè són malignes o perquè són altament sospitoses però no s’ha pogut tenir un diagnòstic de certesa mitjançant la biòpsia percutà nia.

5 Exploració
Localitzar la lesió mitjançant el transductor de l’ecògraf.
Desinfecció de la pell amb povidona iodada.
Col·locació de la bossa estèril al transductor.
Aplicació de cloretil en spray sobre la zona de punció.
Punció amb l’arpo metà l·lic
Si estem a la lesió, es treu el fiador deixant el filferro a la lesió.

Fixació de l’arpó a pell per evitar desplaçaments.
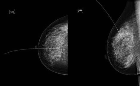
Es realitza una projecció mamogrà fica crani - caudal i lateral a 90º de la mama amb l’arpo.

Apòsit estèril sobre la zona amb fixació externa de l’arpó amb tires de sutura (cal tenir en compte que la pacient a de portar l’apòsit a quiròfan).

Remetre la pacient amb tots els estudis radiològics a la planta d’hospitalització.
Confirmar l’exploració realitzada al SISDI.
6 Material
Taula de Mayo.
Set de cures estèril.
Pinces.
Gasses estèrils.
Guants estèrils.
Povidona iodada.
Arpo metà l·lic.
Tires de sutura.
Esparadrap.
Bossa estèril per al transductor.
7 Cura i manteniment del material
Netejar el transductor
Llençar la roba emprada.
Netejar bé amb lleixiu totes les superfÃcies.
Recollir la taula de Mayo llençant tot el material emprat.
Desinfecció amb lleixiu la taula de Mayo.
Paper nou per la llitera.
8 Comprovació de la peça operatòria
La peça es remet al servei de radiologia, es realitza una ecografia de la peça quirúrgica. L’objectiu és comprovar que la lesió estigui inclosa i que no s’hagin d’ampliar els marges quirúrgics.
La peça ha d'incloure l’arpó un fil llarg i un altre curt
Col·locar la peça amb una Batea amb sèrum fisiològic

Un cop tenim la comprovació ecogrà fica, el radiòleg truca a quiròfan.
Remetre la peça al Servei de Patologia amb les plaques obtingudes.
9 Material
Guants
Pinces
Batea
Sèrum fisiològic
Bossa de plà stic per protegir el transductor
10 Cura i manteniment del material
Desinfecció del transductor i pinces emprades amb solució desinfectant.










