1 Programació
Les pacients de Unitat de Patologia Mamà ria (privada o d’altres centres) són citades per la secretà ria de la unitat.
Les pacients del Programa de Detecció Precoç del Cà ncer de Mama són citades per mitjà de la Consulta d’Infermeria Radiològica.
Es necessita una analÃtica general recent amb proves de coagulació.
Els pacients que facin tractament amb anticoagulants orals, han de suspendre la ingesta, es farà el protocol establert substituint els anticoagulants orals per heparina; els pacients que prenguin antiagregans plaquetaris se’ls aplicarà el protocol establert.
2 Recepció
Cal tenir la petició del metge sol·licitant la prova amb el segell del centre destinatari.
Cal tenir la història clÃnica amb les exploracions mamà ries prèvies, a poder ser numerades. Inclou les RM. És necessari que les pacients que tinguin estudis previs realitzats fora de l’hospital el dia de la exploració les portin.
La pacient haurà estat informada prèviament pel cirurgià del procediment que li practicarem.
A totes les pacients, se’ls hi preguntarà sobre al·lèrgies i antecedents patològics.
Passar a la pacient i que es desvesteixi de cintura en amunt i donar-li la bata.
Explicar-li en què consisteix l'estudi, aclarint-li els dubtes i indicant-li la importà ncia de la seva col·laboració (fonamental en qualsevol exploració).
Mantenir tancada la sala d'exploració.
Introduir les dades identificatives: núm. d’història, nom i cognoms.
3 Definició
Mètode d’extirpació de lesions no palpables de forma ambulatòria i amb major precisió que la biòpsia quirúrgica convencional, que pot estar indicada en casos seleccionats en els que es desitja extirpar la lesió no fragmentada.

4 Quan es realitza
Com a mètode diagnòstic en casos seleccionats en els que el radiòleg prevegi que es pot extreure tota la lesió amb marges lliures i que tingui poques probabilitats de ser maligne:
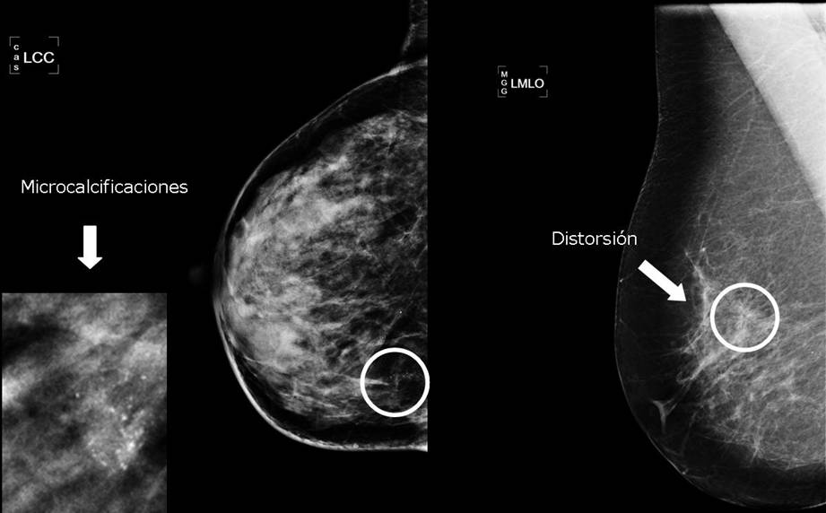
- Petites distorsions de l’arquitectura.
- Cúmuls de microcalcificacions poc sospitoses o com a mètode terapèutic, està en fase d’avaluació.
5 Exploració
Canalitzar una via endovenosa perifèrica (20-G) col·loquem sèrum fisiològic 500cc de manteniment. Prendre constants vitals. Administrar sedant per via oral.

- Col·locació de la pacient en decúbit pro amb el pit a biopsiar que surti a través de l'orifici de la taula pro.
- Localitzar a les mamografies la zona d’extirpació. Mesurar les distancies del mugró a l’alçada de la lesió (perpendicular) i a continuació des d’aquest punt fins al centre de la lesió.
- Es localitza la lesió en lateral extern – intern o crani – caudal.
- Rotular externament la lesió a la pell.
- Explicar a la pacient el tipus de procediment remarcant que és fonamental que no es mogui.
- Comprimir la zona a biopsiar i realitzar una exposició sense bascular el tub per assegurar-se que estem a la zona d’interès. La lesió ha d’estar al centre de la finestra estereotà xica.
- Realitzar dues projeccions de la zona a +15º i -15º.
- Es fixa la cà nula al suport de la taula.
- Posicionarem el Z zero.
- Calculem les coordenades.
- Es transmeten a la taula d'exploració.
- Desinfecció de la pell.
- Requereix de la intervenció conjunta del radiòleg i el cirurgià .
- Infiltració de la pell amb anestèsic local.
- Incisió de la pell amb fulla bisturà de 20 mm.
- Introducció de la cà nula d’excisió.
- Plaques de comprovació de la situació de la cà nula +15º i -15º.

- Extracció de la lesió.

- Finalitzar el procediment després d’haver verificat l'hemostà sia utilitzant electrocauterizació si és necessari.
- El cirurgià realitza sutura de la incisió per plà nols.
- Realitzem dues projeccions radiològiques crani - caudal i lateral 90 º. L’objectiu és comprovar que tant la lesió com els marges estan inclosos a la peça extreta.

- Es col·loquen la mostra extreta a un recipient amb formol al 10%.
- Es descomprimeix la mama un cop finalitzada l’exploració.
- Apòsit compressiu estèril sobre la zona.
- Posar el gel eco congelat postpunció a sobre de l’apòsit.
- Treure la via.
- Prendre constants vitals.
- Identificar la mostra.
- Enviar les imatges al RAIM.
- Registrar les exploracions realitzades al SISDI.
- Remetre la mostra a Patologia.
- Informar a la pacient de les possibles molèsties.
- Lliurar la carta post-procediment i informar del circuit de resultats.
6 Material comú
- Taula de Mayo.
- Set de cures estèril.
- Gasses estèrils.
- Guants estèrils.
- Povidona iodada.
- Agulla IM o SC.
- Fulla de bisturÃ.
- Xeringues de 5 cc.
- Xeringues de 10 cc.
- Esparadrap.
- Anestèsic local.
- Pot amb formol al 10%.
- Gel eco congelat postpunció.

7 Material especÃfic
- Sèrum fisiològic de 500 cc
- Sèrum fisiològic de 100 cc
- Equip de sèrum.
- Nolotil injectable.
- Abbocat 20-G.
- Smark.
- Punts de sutura vicril i prolene 3 ceros.
- Cà nula d’excisió Site select 22.
- Suport per la cà nula d’excisió a la taula pro.
- Set instrumental quirúrgic.
8 Resultats
Informar a la pacient del circuit del resultats:
Si la pacient es controla a l’hospital, la trucarem per donar-li dia i hora de visita amb el metge, qui li donarà els resultats.
Si la pacient es controla PCCM i el resultat és benigne, se la informa des de la consulta d'infermeria via telefònica. Si el resultat és maligne, passa a la UPM.
Si la pacient és d’un altre centre, li enviaran el resultat en 15 dies al centre destinatari.
9 Cura i manteniment del material
- Llençar la roba emprada.
- Netejar bé amb lleixiu totes les superfÃcies i llençar tot el material emprat.
- Desinfecció amb lleixiu la taula de Mayo.











